发布时间:2021-07-20 来源: 浏览量:

日前,一57岁男性患者,因“胸痛、胸闷4小时”来到东部院区就诊,门诊心电图检查结果V1-V4 ST段广泛抬高,提示急性前壁心肌梗死。急诊科医生迅速将病人移至抢救室,予以动态生命体征监测,同时将患者的就诊资料上传至市人民医院胸痛中心远程会诊交流群,快速得到患者急性前壁心肌梗死的诊断,需行进一步处置。
根据胸痛中心专家的指导接诊医师立即予以病人嚼服“心梗急救一包药”(阿司匹林3片+替格瑞洛90mg2片),并告知患者病情危重需至市人民医院胸痛中心进一步检查和治疗。患者起初并不理解,不以为然,医护人员耐心细致的反复解释说明,终于让病人最终同意转诊进一步处理,由120快速转运至铜陵市人民医院胸痛中心。
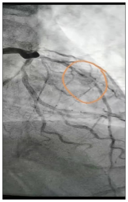
胸痛中心医护人员已提前做好术前准备,立即行DSA造影检查,术中见患者心脏冠脉前降支几乎闭塞,病情危重,急诊行经皮冠状动脉介入(PCI)手术,术后病人恢复良好,现已完全康复出院。
该患者的成功救治是市人民医院院区合作卓有成效的一个缩影。东部院区依托总院的管理、人才、技术和设备优势,不断提升自身的业务和服务能力,在规范和提高常见病、多发病诊疗水平的同时,对急危重症的判断和早期处置能力也不断提高。此例病人的救治成功除了总院胸痛中心的及时处置外,东部院区急诊医师的即时发现、早期干预和及时转诊也起到关键性作用。该病人从东部院区接诊到市人民医院胸痛中心完成PCI手术的时间不到两个小时,院区联动保证了病人救治的无缝衔接,大大提高了急危重症的救治成功率。
友情链接